8月12日,深圳普瑞眼科医院眼底病科许正华主任成功为一名左眼黄斑裂孔术后复发的患者实施高难度二次修复手术,闭合了直径达1200μm的罕见黄斑巨大裂孔,帮助患者吴阿姨(化姓)摆脱了长达一年的视物模糊与视野缺损困扰。术后复查显示,其左眼视力从术前的0.05提升至0.15,生活质量得到显著改善。“黄斑裂孔”手术是目前国内高水准的现代微创显微眼科手术,打破了很多年以前的观念,黄斑区不能治疗的手术禁区,为无数眼疾患者带来了光明。
患者是58岁的吴阿姨一年前左眼突然出现视力下降,看远看近都模糊不清,视野中央还有固定黑影遮挡。一年前在外院接受玻璃体切除手术后,700μm的黄斑裂孔未能完全闭合,视力始终不见好转。"眼前就像挡着一块黑布,连家人的脸都看不清,心里特别焦虑。"吴阿姨回忆道。
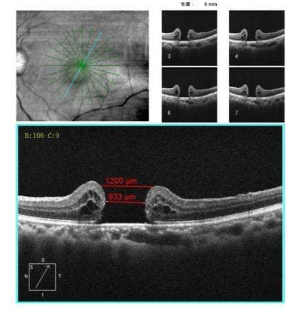
术前眼底情况经深圳普瑞眼科医院眼底病科许正华主任详细检查,发现吴阿姨的左眼黄斑裂孔已扩大至1200μm(闭合指数范围 ≤400μm成功率高),属于临床上罕见的巨大裂孔病例。更棘手的是,患者是二次手术,此前手术中可用范围内界膜已撕除,二次手术填塞裂孔带来巨大挑战,手术难度倍增。
左眼术前OCT"这种情况就像要在已经修补过的布料上再次打补丁,可用的材料却所剩无几。"许正华主任形象地比喻道,"我们必须在不破坏视网膜的前提下,从远端找到足够的内界膜来完成修补。"
许正华主任为吴阿姨精心制定了联合手术方案:左眼通过"黄斑区血管弓以外内界膜翻转覆盖+包合式填塞"的创新技术,扩大内界膜剥离范围;运用"圆钻取膜"技术精准获取残留内界膜,完成对巨大裂孔的封闭。考虑到患者还有白内障,同时开展白内障超声乳化摘除术+人工晶体植入术,尽可能一次性解决左眼眼部疾病问题。
许正华主任手术中手术过程中,许主任在上方血管弓外成功找到了残留的内界膜,如同寻获珍贵的"修补材料",经过精细操作,最终成功完成联合手术。术后检查显示,巨大的黄斑裂孔已闭合,吴阿姨的视力得到明显改善。
术后OCT,黄斑裂孔已闭合许正华主任强调,黄斑病变会严重影响患者的生活质量,建议出现视物变形、中心视野缺损等症状时要及时就医。对于复杂病例,选择有丰富经验的医疗团队至关重要。
"这次手术的成功,不仅为患者带来了光明,也为类似复杂病例的治疗积累了宝贵经验。"许正华主任表示。目前,吴阿姨已顺利出院,深圳普瑞眼科医院将持续关注她的康复情况。
许正华主任到病房询问吴阿姨术后情况“黄斑裂孔是一类严重损害患者中心视力的眼底疾病,患者常以视物模糊、中心暗点、视物变形等来医院就诊,一般需要手术治疗,而手术的核心步骤就在于精准微创剥除黄斑周围内界膜,处理孔周和气液交换,术后需要暂时性特殊体位,面部向下俯卧位,利用气体表面张力对黄斑区裂孔的一个顶压,达到闭合作用。”许正华主任介绍。
内界膜位于视网膜的最内层,厚度极薄,仅有鸡蛋内膜厚度的十分之一,剥除时要掌握好力度,以免起剥过深损伤血管丰富的视网膜,造成出血或视网膜裂孔、视力损伤等,裂孔越大,术后闭合越难,术中处理要求越精细,手术难度大,对医生手术技术能力要求更高。
眼科专家介绍

许正华
眼科主任、主任医师
曾在解放军第四七四医院(全军眼科中心)工作20年余。于2008年在重庆西南大坪医院进修学习。于2016年在四川大学华西医院眼科进修深造,在疑难眼底病诊断和治疗有丰富的临床经验。于2019年北京同仁眼科中心进修眼后节微创玻璃体视网膜手术得到很高造诣。
擅长各种复杂性白内障手术,微创复杂性玻璃体、视网膜手术,高度近视性视网膜病变及黄斑部疾病手术。对屈光性疾病、青少年近视防控、小儿斜弱视、青光眼、泪道、眼部整形、糖尿病、高血压引起的眼底病变、眼外伤和各种疑难眼底病方面有丰富的临床经验,于2016年中国医师协会光明基金项目获得最佳荣誉奖;2019年荣获“光明中国行”导师。全国白内障复明PD项目指导专家。参与三项自治区卫生计生适宜技术推广项目,在SCI发表二篇、中华眼外伤职业病杂志,国际眼科杂志,中国实用眼科杂志,新疆医学,航空军医等杂志上发表过杂志二十余篇。
出诊时间:周二、周三、周四、周五、周六上午
出诊地点:深圳普瑞眼科医院2楼
“掌”握科技鲜闻 (微信搜索techsina或扫描左侧二维码关注)










