最近,福建福州的一则新闻引发关注,冲上了新浪热搜。原来是一名 13 岁男孩,家人发现他的脖子总是黑黑的。原以为是“不爱干净”,便反复清洗,可脖子依旧黑。直到前往医院皮肤科检查,才确诊为黑棘皮病。另外,新闻中还提到,男孩平时酷爱零食,一到夏天更是喜欢用冰饮料下饭,现在身高 1 米 73,体重高达 97.5 公斤。
图 1. 热搜截图(来自微博)究竟什么是黑棘皮病?它又为何会发生呢?这和孩子的饮食习惯、体重有关系吗?今天,我们就来聊一聊这一现象。
什么是黑棘皮病?
黑棘皮病是一种皮肤疾病,它的病名就描述了疾病的形态,特点是:
· 有色素沉着,颜色变深(灰色或者褐色),甚至发黑。
· 病变的皮肤粗糙、增厚,像棘皮一样,仔细看的话,会有许多细小乳头状隆起,触感柔软,犹如天鹅绒一般。
· 另外,它的位置很有特征性,特别容易出现在脖子,左右对称。除了脖子外,还常见于腋窝、腹股沟、乳房下等皮肤褶皱处。
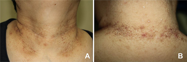
下面的 2 张图片,就是黑棘皮病的“证件照”。


黑棘皮病不算少见,之前美国有个数据,他们调查了 7 到 65 岁人群,发现有 19% 的人都有这个皮肤问题。那么,要真是黑棘皮病,严重吗?这得展开说。
黑棘皮病本身,其实不严重,它几乎不疼不痒,也不影响身体健康,甚至都不需要刻意治疗。但是,得了黑棘皮病,一定要引起重视,因为它不会是无缘无故发生的,而是可能有其他的病因。
黑棘皮病不能小视 可能是疾病甚至癌症信号
1、肥胖
黑棘皮病最常见的原因是肥胖,尤其是未成年群体。数据显示,肥胖型黑棘皮病最为常见。具体来说,有研究发现,正常体重、超重或肥胖的 7~19 岁群体中,分别有 3%、11% 以及 51% 的人患有黑棘皮病。
对于将近 200 斤的新闻当事人,妥妥的是肥胖群体了,很容易中招黑棘皮病。由此可见,这个热搜的来龙去脉,我们也算是大概了解了:孩子因为有肥胖,引发了皮肤的黑棘皮病;而肥胖的原因,可能是暴饮暴食(也可能还有别的原因),食物本身和黑棘皮病没关系。
在治疗方面,对于肥胖型黑棘皮病患者,最为关键的就是控制体重。在医生的指导下,合理饮食,减少高热量、高脂肪、高糖食物的摄入,增加膳食纤维丰富的蔬菜水果以及粗粮的摄取,同时加强体育锻炼。如果减重成功,黑棘皮病也能随之而改善。
如果希望黑棘皮病改善效果更快,那么可以看皮肤科医生,再加上局部的对症治疗,加速病变的消退。可能会建议外用维 A 酸类药物(比如维 A 酸乳膏、阿达帕林凝胶),它们是是一线治疗。有研究显示,0.05%维 A 酸治 2 周后,所有黑棘皮病患者的外观都有好转,治疗 16 周后,80%的患者病变完全消除,不过消除后还需要间歇性抹药以防复发。除了肥胖外,黑棘皮病还有其他的原因,也需要提高警惕。其中,就包括内分泌异常、药物甚至癌症。
2、内分泌疾病
黑棘皮病是不少内分泌疾病在皮肤上的一种表现,虽然不是一一对应的关系,但胰岛素抵抗、糖尿病、多囊卵巢综合征的群体,相比普通人群,会更容易出现黑棘皮病。
3、药物副作用
少数黑棘皮病则是因为用药后的皮肤副作用。这类相关的药物包括系统使用糖皮质激素、注射胰岛素、口服避孕药、口服烟酸、蛋白质抑制剂、阿立哌唑、睾酮等。
4、恶性黑棘皮病
更罕见但也更严重的是癌症相关的黑棘皮病,也叫做“恶性黑棘皮病”。这种黑棘皮病常与体内恶性肿瘤的紧密相关,比如胃癌、胰腺癌、胆管癌等多种腹部腺癌。如果是儿童群体,出现恶性黑棘皮瘤的概率就更小了。如果出现下面的一些表现,那就要警惕有癌症的可能:
· 黑棘皮病短期内迅速出现
· 范围很大,不仅限于脖子等个别部位
· 甚至黏膜、手掌、脚底都出现病变
· 伴随有不明原因的消瘦
总之,遇到身边(或自己)有黑棘皮病的时候,千万不能掉以轻心,它所发出的健康警示不容忽视。要做的是及时就医评估,寻找黑棘皮病背后的原因,看是单纯的胖,还是另有隐情。
这些“脏脖子”,不是黑棘皮病
上面重点聊了黑棘皮病,想必不少人会担心自己或自家的孩子是不是也有同样的问题。这里要提醒一下,除了黑棘皮病外,还有不少其他问题,也表现为“脏脖子”(或“黑脖子”)。
1、晒黑
到了夏季,紫外线强烈,外加户外活动多,很多人容易被晒黑,脖子就是很常见的一个部位。这是因为,防晒的时候,脖子容易被忽视。很多人没有给后脖子做遮挡,也不涂抹防晒霜。
如果涂抹防晒霜,但涂抹得不均匀、量不够,或者户外活动超过 2 小时后忘记补涂,那么也容易被晒黑。晒黑的特点是后脖子为主,与周围皮肤有明显的分界线,衣服遮挡的皮肤比较正常,没有遮住的就比较黑;并且皮肤的质地摸起来没有异常,不会有粗糙和增厚的表现。
2、“脏颈征”
有一种很常见的慢性湿疹,叫做特应性皮炎,它可能在脖子上出现一种叫做“脏颈征”的特征性皮肤表现。它的形成机制主要是与湿疹相关的慢性炎症和皮肤屏障功能不完善。
图 4. “脏颈征”(来自参考资料)“脏颈征”的外观特点是脖子(尤其是前面或侧面)是弥漫性褐色或暗沉的斑片,表面可能伴有轻微粗糙或细小的皮屑。除此之外,患者皮肤本身容易有干燥和瘙痒的表现,其他部位(比如手腕、手肘、腿弯)可能有反复长湿疹的情况。
3、颗粒状角化不全
这是一种偶有发生的皮肤问题,喜欢出现在腋窝、脖子等皮肤褶皱部位。某些化学物质,如衣物消毒剂中的苯扎氯铵,可能诱发颗粒状角化不全。
图 5. 颗粒状角化不全(来自参考资料)它的表现有多种多样,发黑反而不是主要特点,可能会有红斑、丘疹、斑块、皮屑、结痂,并可能伴有瘙痒。
4、Terra firma-fome 皮病
也叫做 Duncan 污秽病,特点是没有症状,可以发生在是脖子、脸、脚踝、耳后等部位,外观是黑褐色污秽样斑片或斑块,同样容易被误认为是没有洗干净。用香皂、洗手液普通清洗方法无法去除这类病变,不过有学者发现,用异丙醇擦洗则很容易去除。
图 6. Terra firma-fome 皮病(来自参考资料)限于篇幅,更多少见、罕见的类似疾病,比如 Hailey-Hailey 病、融合性网状乳头状瘤等,在这里就不再详细阐述了。总之,如果脖子变黑,不是变脏了,不是真的晒黑,那么就要提高警惕,及时找医生评估好治疗,不要掉以轻心。
“掌”握科技鲜闻 (微信搜索techsina或扫描左侧二维码关注)










