IT之家 6 月 6 日消息,最新研究表明,孕期缺铁可能影响胎儿在子宫内的性别发育。一项为期 8 年的国际研究发现,孕期小鼠饮食中铁含量不足,会导致部分胚胎出现雄性向雌性的性别逆转。
该研究由昆士兰大学分子生物科学研究所(Institute for Molecular Bioscience)的名誉教授彼得・库普曼(Peter Koopman)领衔,联合大阪大学的研究人员,历时 8 年,探索了孕期铁缺乏对胎儿性别发育的影响。
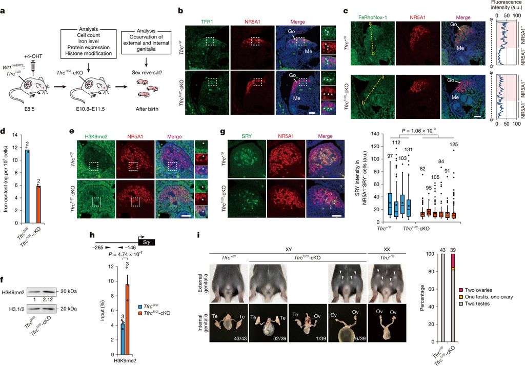
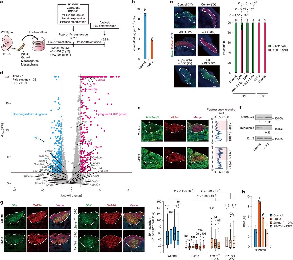
研究聚焦于哺乳动物中决定雄性性别的关键基因 Sry,试图揭示细胞内铁水平是否会干扰其功能。实验结果令人震惊:在孕期小鼠的低铁饮食组中,部分携带 XY 染色体的胚胎竟然发育出了卵巢,呈现出雄性向雌性的性别逆转。



库普曼强调这一发现突破了以往认知,首次科学地证明了饮食因素可能影响性别发育。他指出:“我们的研究确立了铁在性别决定中的重要角色,同时也引发了新思考 —— 铁可能还影响胎儿发育的其他方面,这是前所未有的设想。”
然而,研究尚未涉及人类妊娠的具体影响。库普曼补充道,全球约 40% 的孕妇受到缺铁困扰,而铁此前从未被认为与胚胎性别决定有关。
研究还发现,性别逆转仅在对铁缺乏遗传易感的小鼠品系中出现,而正常饮食组的小鼠未见类似现象。库普曼警告,这可能意味着部分孕妇若存在铁缺乏的遗传倾向,胎儿性别逆转的风险或需关注。
IT之家附上参考地址
新浪科技公众号
“掌”握科技鲜闻 (微信搜索techsina或扫描左侧二维码关注)










